BackMeiosis and Sexual Life Cycles: Mechanisms and Genetic Variation
Study Guide - Smart Notes
Tailored notes based on your materials, expanded with key definitions, examples, and context.
Meiosis and Sexual Life Cycles
Introduction to Meiosis and Sexual Life Cycles
Meiosis is a specialized type of cell division that reduces the chromosome number by half, producing four genetically distinct haploid cells from one diploid cell. This process is essential for sexual reproduction and contributes to genetic diversity in eukaryotic organisms. The sexual life cycle alternates between haploid and diploid stages, ensuring the maintenance of chromosome number across generations.
Key Terminology
Somatic cells: All body cells except gametes; diploid (2n).
Gametes: Haploid sex cells (sperm and egg) involved in sexual reproduction.
Homologous chromosomes: Chromosome pairs (one from each parent) with the same genes in the same order but possibly different alleles.
Autosomes: Chromosomes not involved in determining sex.
Sex chromosomes: Chromosomes that determine the sex of an individual (e.g., X and Y in humans).
Diploid cell (2n): Cell with two sets of chromosomes.
Haploid cell (n): Cell with one set of chromosomes.
Ploidy: The number of sets of chromosomes in a cell.
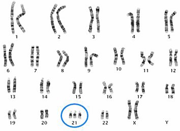
Karyotype: Laboratory image of an individual's chromosomes arranged in order.
Zygote: The diploid cell formed by the fusion of two gametes.

Comparing Mitosis and Meiosis
Overview and Key Differences
Mitosis and meiosis are both processes of cell division, but they serve different purposes and have distinct outcomes.
Mitosis: Produces two genetically identical diploid cells for growth, development, and tissue repair. Involves one cell division and no genetic recombination.
Meiosis: Produces four genetically unique haploid cells (gametes) for sexual reproduction. Involves two rounds of cell division and includes genetic recombination through crossing over and independent assortment.
Similarities: Both start with a diploid cell and involve interphase prior to division.

Phases of Meiosis
Meiosis I: Reductional Division
Meiosis I separates homologous chromosomes, reducing the chromosome number by half.
Prophase I: Homologous chromosomes pair up (synapsis) and exchange genetic material (crossing over) at chiasmata, forming tetrads.
Metaphase I: Tetrads align at the metaphase plate.
Anaphase I: Homologous chromosomes separate and move to opposite poles.
Telophase I and Cytokinesis: Two haploid cells form, each with duplicated chromosomes.

Meiosis II: Equational Division
Meiosis II resembles mitosis, separating sister chromatids in each haploid cell.
Prophase II: Spindle apparatus forms in each haploid cell.
Metaphase II: Chromosomes align at the metaphase plate.
Anaphase II: Sister chromatids separate and move to opposite poles.
Telophase II and Cytokinesis: Four genetically distinct haploid cells are produced.

Key Processes in Meiosis
Crossing Over
During prophase I, homologous chromosomes exchange genetic material at chiasmata, resulting in recombinant chromatids. This process increases genetic diversity among gametes.

Independent Assortment
During metaphase I, homologous chromosome pairs align randomly at the metaphase plate. This random orientation leads to independent assortment, producing gametes with different combinations of maternal and paternal chromosomes.

Genetic Variation in Sexual Reproduction
Fertilization: Fusion of two haploid gametes restores diploid chromosome number and combines genetic material from two parents.
Random Fertilization: Any sperm can fertilize any egg, further increasing genetic variation.
Crossing Over and Independent Assortment: Both processes shuffle genetic material, ensuring unique combinations in offspring.
Errors in Meiosis: Nondisjunction
Definition and Consequences
Nondisjunction occurs when chromosomes fail to separate properly during meiosis I or II, resulting in gametes with abnormal chromosome numbers. Fertilization involving such gametes leads to zygotes with aneuploidy (extra or missing chromosomes).
Down Syndrome (Trisomy 21): Caused by an extra copy of chromosome 21, leading to developmental and health effects.

Comparison Table: Mitosis vs. Meiosis
Feature | Mitosis | Meiosis |
|---|---|---|
Number of Divisions | 1 | 2 |
Number of Daughter Cells | 2 | 4 |
Genetic Identity | Identical to parent | Genetically unique |
Chromosome Number | Diploid (2n) | Haploid (n) |
Function | Growth, repair | Gamete production |
Genetic Recombination | No | Yes (crossing over, independent assortment) |
Genetic Diversity in Bacteria: Horizontal Gene Transfer
Mechanisms of Genetic Exchange
Bacteria increase genetic diversity through horizontal gene transfer, which does not involve meiosis or sexual reproduction. The three main mechanisms are:
Transformation: Uptake of free DNA from the environment into a bacterial cell.
Conjugation: Direct transfer of DNA from one bacterium to another via a sex pilus.
Transduction: Transfer of bacterial genes by bacteriophages (viruses that infect bacteria).

Summary Table: Key Terms and Definitions
Term | Definition |
|---|---|
Genome | Total genetic material of an organism |
Gene | Unit of heredity encoding a protein or RNA |
Diploid | Cell with two sets of chromosomes (2n) |
Haploid | Cell with one set of chromosomes (n) |
Homologous chromosomes | Chromosome pairs with the same genes |
Autosomes | Non-sex chromosomes |
Sex chromosomes | Chromosomes determining sex |
Karyotype | Ordered display of chromosomes |
Gamete | Haploid sex cell |
Zygote | Fertilized egg cell |
Crossing over | Exchange of genetic material between homologous chromosomes |
Chiasma | Site of crossing over |
Synapsis | Pairing of homologous chromosomes |
Recombinant chromatid | Chromatid with genetic material from both parents |
Nondisjunction | Failure of chromosomes to separate properly |
Down syndrome | Trisomy 21; three copies of chromosome 21 |
Transformation | Uptake of DNA from environment by bacteria |
Conjugation | DNA transfer between bacteria via sex pilus |
Transduction | DNA transfer by bacteriophage |