Skip to main content
Back

Cell Biology Foundations: Structure, Function, and Macromolecules

Study Guide - Smart Notes

Tailored notes based on your materials, expanded with key definitions, examples, and context.

Introduction to Cell Biology

Overview of Cell Structure and Function

Cell biology is the study of cells, their structure, function, and the intricate relationship between these aspects. The discipline explores how macromolecules such as proteins, lipids, polysaccharides, and nucleic acids contribute to cellular homeostasis—a dynamic state maintained by interacting networks. - Structure determines function: The physical arrangement of cellular components dictates their roles. - Macromolecules: Cells are composed of proteins, lipids, polysaccharides, and nucleic acids, each with specific structural and functional properties. - Homeostasis: Refers to the balance and regulation of cellular processes to sustain life.

Interdisciplinary Nature and Historical Development

Cell biology integrates concepts from chemistry, physics, genetics, and biochemistry. Its origins trace back to the 17th century with the invention of the light microscope, which enabled the visualization of cell structure and the identification of biochemical processes. - Early discoveries: Characterization of organelles, macromolecules, and the role of DNA as the genetic blueprint. - Central Dogma: Describes the flow of genetic information from DNA to RNA to protein. Timeline of cell biology discoveries

Evolution and Diversity of Cells

Cell Theory and Unifying Principles

The cell theory states that the cell is the fundamental unit of life, all organisms are composed of cells, and all cells arise from pre-existing cells. Modern cell theory incorporates energetics, genetics, gene flow, and chemical composition. - Genetic information: Stored as linear sequences in DNA, leading to the structure of RNA and proteins. - Self-assembly: Macromolecules assemble from subunits. - Membrane dynamics: Membranes expand by growth of existing membranes. - Signal-receptor interactions: Essential for cellular organization and environmental response.

Evolution of Cellular Life

The evolutionary history of cells includes the divergence of Bacteria, Archaea, and Eucarya. Endosymbiosis played a key role in the origin of eukaryotic cells, particularly the acquisition of mitochondria and chloroplasts. Evolutionary tree of cells

Cellular Organization: Prokaryotes vs Eukaryotes

Prokaryotic Cell Structure

Prokaryotes, such as bacteria, lack membrane-bound organelles. Their intracellular transport relies on diffusion, and their flagella operate via a rotary motor mechanism. - Key features: Nucleoid, ribosomes, plasma membrane, cell wall, flagella. Structure of a bacterial cell Bacterial flagellar motor

Eukaryotic Cell Structure

Eukaryotic cells possess membrane-bound organelles, including the nucleus, mitochondria, endoplasmic reticulum, Golgi apparatus, lysosomes, and peroxisomes. Their flagella are powered by dynein motors and microtubules. - Compartmentalization: Enables specialized functions within organelles. - Intracellular transport: Utilizes motor proteins and cytoskeletal elements. Eukaryotic cell structure Eukaryotic cell structure (detailed)

Viruses: Cellular Parasites

Characteristics of Viruses

Viruses are not considered living organisms but significantly impact cellular life. They consist of genetic material (RNA or DNA) encased in a protein coat and require host cells for replication. - Types: RNA-containing and DNA-containing viruses. - Impact: Cause diseases and manipulate host cellular machinery. Types of viruses

Cellular Organization and Compartmentalization

Endomembrane System and Protein Targeting

The endomembrane system includes the endoplasmic reticulum, Golgi apparatus, lysosomes, and vesicles. It is responsible for protein synthesis, targeting, and transport. - Protein targeting: Proteins synthesized on free ribosomes are directed to the cytosol, nucleus, mitochondria, or peroxisomes. Proteins synthesized on ER-associated ribosomes are targeted to membranes or secreted. Protein targeting pathways

Organelle Structure and Function

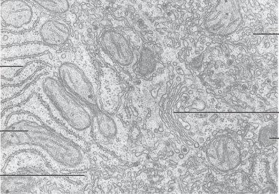
- Mitochondria: Sites of energy production, oxidative stress, and apoptosis. - Golgi apparatus: Hub for membrane-protein trafficking, vesicle budding, and cisternae organization. - Lysosomes: Responsible for degradation; their function is pH-dependent. - Peroxisomes: Involved in fatty acid oxidation and detoxification. Electron micrograph of cell organelles Electron micrograph with labeled organelles Mitochondrion structure

Cytoskeleton and Cellular Movement

Cytoskeletal Systems

The cytoskeleton is composed of microtubules, intermediate filaments, and microfilaments. It provides structural support, enables cellular movement, and facilitates intracellular transport. Fluorescent image of cytoskeleton

Genetic Information: Nucleus and Chromosomes

Nucleus and Chromosome Structure

The nucleus houses DNA organized into chromosomes. Key features include telomeres, centromeres, and the mitotic spindle, which are essential for cell division and genetic stability. Mitotic spindle and chromosomes Chromosome structure Nucleus structure

Macromolecules of the Cell

Types and Functions of Macromolecules

Macromolecules are large, complex molecules essential for cellular structure and function. - Nucleic acids: Polymers of nucleotides; DNA stores genetic information, RNA transfers information. - Lipids: Polymers of fatty acids; form membranes, store energy, and act as signaling molecules. - Polysaccharides: Polymers of monosaccharides; provide structural support and energy storage. - Proteins: Polymers of amino acids; perform enzymatic, structural, and regulatory functions.

Basic Chemistry of Macromolecules

- Electronegativity: Determines electron distribution in molecules. - Polarity: Results from dipole moments in covalent bonds. - Water interaction: Depends on polarity, charge, and size. - Free energy: Includes covalent, noncovalent, and kinetic energy contributions.

Water: The Universal Solvent

Water is the most abundant molecule in cells, critical for biochemical reactions and macromolecular organization. - Hydrophilic: Charged and polar molecules dissolve in water. - Hydrophobic: Nonpolar molecules avoid water, leading to clathrate structures and entropy effects. - Hydrogen bonding: Water forms hydrogen bonds, influencing macromolecular shape.

Structure and Function of Nucleic Acids

Nucleic Acids: DNA and RNA

Nucleic acids are polymers of nucleotides, each with a specific name and function. - DNA: Information storage. - RNA: Information transfer and signaling. - G-proteins, cAMP: Intracellular signaling molecules.

Structure and Function of Polysaccharides

Polysaccharides: Glycogen and Linkages

Polysaccharides are polymers of monosaccharides, such as glucose. Glycogen is a storage polymer with 1-4 and 1-6 glycosidic linkages. - Stereochemistry: Influences shape and function. - Chemical modifications: Affect structure and function.

Structure and Function of Lipids

Lipids: Phospholipids, Sterols, and Amphipathic Properties

Lipids are amphipathic, with hydrophobic and hydrophilic regions. - Phospholipids: Major component of membranes. - Sterols (cholesterol): Key in metabolism, hormone synthesis, and membrane organization.

Structure and Function of Proteins

Proteins: Amino Acids and Folding

Proteins are polymers of amino acids, with folding governed by hydrophobic packing, surface exposure of polar/charged residues, hydrogen bonding, and structural loops. - Peptide bond: No free rotation; alpha-carbon allows rotation. - Folding rules: Hydrophobic residues pack inside, polar/charged residues on surface, hydrogen bonds stabilize structure.

Levels of Protein Structure

- Primary: Linear sequence of amino acids. - Secondary: Regular arrangements (e.g., alpha helix, beta sheet). - Tertiary: 3D organization of a single polypeptide. - Quaternary: Organization of multiple polypeptide chains.

Summary Table: Comparison of Cell Types

Feature

Prokaryotes

Eukaryotes

Organelles

Absent

Present

Flagella Mechanism

Rotary motor

Dynein motor

Intracellular Transport

Diffusion

Motor proteins, cytoskeleton

Genetic Material

Nucleoid

Nucleus

Cell Division

Binary fission

Mitosis/meiosis

Summary Table: Macromolecules of the Cell

Macromolecule

Monomer

Function

Nucleic acids

Nucleotide

Information storage/transfer

Lipids

Fatty acid

Membrane structure, energy storage

Polysaccharides

Monosaccharide

Energy storage, structure

Proteins

Amino acid

Enzymatic, structural, regulatory

Key Equations

Free Energy Change

Hydrogen Bonding

Peptide Bond Formation

Glycosidic Linkage

Central Dogma

Conclusion

Cell biology is a foundational discipline that integrates structural, chemical, and functional knowledge to understand life at the cellular level. Mastery of cell structure, macromolecules, and their interactions is essential for advanced study in biological sciences.

Pearson Logo

Study Prep