BackPulmonology: The Respiratory System – Medical Terminology Study Guide
Study Guide - Smart Notes
Tailored notes based on your materials, expanded with key definitions, examples, and context.
Pulmonology and the Respiratory System
Introduction to Pulmonology
Pulmonology is the medical specialty focused on the anatomy, physiology, diseases, and treatment of the respiratory system. Pulmonologists diagnose and manage respiratory disorders using a variety of tests, procedures, and medications.
Pulmon/o-: Refers to the lung
-logy: Means the study of

Anatomy of the Respiratory System
Overview of Respiratory Structures
The respiratory system consists of the lungs and a series of connected structures that form the pathway for air to enter and exit the body. It is divided into the upper and lower respiratory tracts.

Upper Respiratory System
Nose and Nasal Cavity
The nose is the entry point for air. The nasal cavity is divided by the septum and contains three turbinates that slow and condition the air. The nasal mucosa lines the cavity, humidifying and filtering the air with mucus and cilia.
nas/o-: Nose
-al: Pertaining to
Turbinates: Bony structures that increase surface area for warming and moistening air
Mucosa: Produces mucus to trap particles
Cilia: Move mucus and debris out of the airway

Pharynx
The pharynx is a muscular tube that serves as a common passageway for air and food. It is divided into three regions:
Nasopharynx: Upper part, behind the nasal cavity
Oropharynx: Middle part, behind the oral cavity
Laryngopharynx: Lower part, leading to the larynx and esophagus

Lower Respiratory System
Larynx
The larynx, or voice box, contains the vocal cords and remains open during breathing. During swallowing, it moves upward to meet the epiglottis, preventing food from entering the airway.
Trachea and Bronchial Tree
The trachea (windpipe) is supported by C-shaped cartilage rings and divides into the right and left bronchi. Each bronchus enters a lung and branches into smaller bronchioles, which lack cartilage and have smooth muscle walls. The bronchial tree is lined with cilia.
Lungs and Alveoli
The lungs are spongy organs divided into lobes (right: 3, left: 2). Bronchioles end in clusters of alveoli, which are the sites of gas exchange. Alveoli secrete surfactant to prevent collapse and collectively form the pulmonary parenchyma.
Right lung: Upper, middle, and lower lobes
Left lung: Upper and lower lobes
Alveoli: Microscopic air sacs for gas exchange
Surfactant: Reduces surface tension in alveoli

Thorax and Pleura
The thorax is the chest cavity, bounded by the rib cage, sternum, and spine. Each lung is enclosed in a pleural cavity lined by a double-layered pleura, which secretes fluid to reduce friction during breathing. The diaphragm forms the inferior border of the thoracic cavity.
Visceral pleura: Covers the lungs
Parietal pleura: Lines the thoracic cavity
Pleural fluid: Lubricates pleural surfaces

Physiology of Respiration
Breathing Mechanism
Breathing is primarily involuntary and controlled by the brain's respiratory centers, which send signals via the phrenic nerve to the diaphragm. Inhalation (inspiration) and exhalation (expiration) are the two main phases of breathing.
Inhalation: Diaphragm contracts and moves down, intercostal muscles lift ribs, thoracic cavity enlarges, air flows in due to negative pressure
Exhalation: Diaphragm relaxes and moves up, intercostal muscles relax, thoracic cavity shrinks, air flows out due to positive pressure
Processes of Respiration
Respiration involves five key processes:
Ventilation: Movement of air in and out of the lungs
External respiration: Gas exchange between alveoli and blood
Gas transport: Movement of gases in the blood
Internal respiration: Gas exchange between blood and body cells
Cellular respiration: Use of oxygen by cells to produce energy, with carbon dioxide as a waste product

Common Respiratory Diseases
Diseases of the Nose and Pharynx
Upper respiratory infections (URIs) are commonly caused by viruses or bacteria and are highly contagious through droplets or contact.

Diseases of the Lungs
Acute Respiratory Distress Syndrome (ARDS)
ARDS is characterized by fluid accumulation in the alveoli, leading to poor oxygenation of blood and respiratory failure. It is often associated with critical illness or injury.

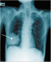
Atelectasis
Atelectasis refers to the collapse of part or all of a lung, resulting in reduced gas exchange and visible as a hazy area on chest x-ray.

Cystic Fibrosis
Cystic fibrosis is a genetic disorder causing thick, sticky mucus in the lungs, leading to chronic infections, cyanosis (bluish skin), and clubbing of the fingers.

Effects of Smoking
Smoking introduces tar and other harmful substances into the lungs, causing tissue damage and increasing the risk of chronic diseases such as emphysema and lung cancer.

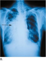
Pneumonia
Pneumonia is an infection of the lung tissue, visible on x-ray as a dense, gray-white area. It can be caused by bacteria, viruses, or fungi.

Pulmonary Embolism
A pulmonary embolus is a blood clot or fat globule that travels to the lungs and blocks blood flow, causing sudden shortness of breath and decreased oxygenation.

Tuberculosis
Tuberculosis is a chronic bacterial infection caused by Mycobacterium tuberculosis, which has a waxy coating making it resistant to treatment.

Diseases of Respiration
Respiratory diseases can affect the rate and depth of breathing. For example, tachypnea is an abnormally rapid respiratory rate, often seen in acute illness.

Laboratory Tests and Diagnostic Procedures
Pulse Oximetry
A pulse oximeter is a noninvasive device that measures the percentage of hemoglobin saturated with oxygen and the pulse rate.

Pulmonary Function Tests (PFTs)
Pulmonary function tests measure lung volumes and airflow to assess respiratory function, often used in chronic lung diseases like cystic fibrosis.

Sleep Studies
Sleep studies monitor patients overnight to diagnose sleep-related breathing disorders such as sleep apnea.

Radiologic Procedures
Chest x-rays are commonly used to visualize lung structure and diagnose conditions such as pneumonia, atelectasis, and tumors.

Medical and Surgical Procedures
Auscultation and Percussion
Auscultation involves listening to breath sounds with a stethoscope, while percussion involves tapping on the chest to detect abnormal lung sounds.

Chest Percussion Therapy
This therapy uses vibration to loosen thick mucus in the lungs, especially in patients with cystic fibrosis.

Continuous Positive Airway Pressure (CPAP)
CPAP machines provide a constant flow of air to keep the upper airway open during sleep, commonly used for sleep apnea.

Endotracheal Intubation
Endotracheal intubation involves inserting a tube into the trachea to maintain an open airway and deliver oxygen or medications.

Incentive Spirometry
Incentive spirometers encourage deep breathing to prevent lung complications after surgery or illness by providing visual feedback on inhaled volume.

Oxygen Therapy
Oxygen can be delivered via nasal cannula or respirator to increase blood oxygen levels in patients with respiratory insufficiency.

Drugs and Smoking Cessation
Inhalers
Metered-dose inhalers deliver bronchodilators or corticosteroids directly to the lungs for conditions like asthma.

Smoking Cessation
Nicotine replacement therapy, such as patches, helps patients gradually reduce dependence on nicotine and quit smoking.

Surgical Procedures
Lobectomy
Lobectomy is the surgical removal of a lung lobe, often performed for lung cancer or severe emphysema. The remaining lung tissue expands to fill the space.

Tracheostomy
A tracheostomy is a surgically created opening in the trachea to provide an airway for patients who need long-term respiratory support.

Summary Table: Key Structures and Functions of the Respiratory System
Structure | Function |
|---|---|
Nose/Nasal Cavity | Filters, warms, and moistens air |
Pharynx | Passageway for air and food |
Larynx | Voice production, airway protection |
Trachea | Conducts air to bronchi |
Bronchi/Bronchioles | Distribute air to lungs |
Alveoli | Gas exchange |
Pleura | Reduces friction during breathing |
Diaphragm | Main muscle of respiration |